Пионерский
18+
Кристалл (Стоматологическая клиника)
18+
О нас
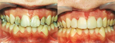
Рады рассказать о наших услугах: Услуги(эстетическая стоматология,эндодонтия,рентгенография,терапия,пломбирование,отбеливание,лечение кариеса,гигиена зубов,коронки,лечение каналов)
18+
У нас основное направление услуг подходит для возраста посетителей: от 18+
Наши предложения и акции
Фото
Особенности при посещении
Вид занятия и борьбы
Кобудзюцу
Рейтинг и отзывы посетителей
Наши контакты
Расписание
Связаться
Еще интересные места








